实时接收矩正的最新动态
了解产品信息
以下文章来源于动脉网 ,作者陈婕
2023年11月,矩正医疗的冠脉血管重塑导管完成首例临床入组。浙江大学医学院附属第二医院(以下简称“浙大二院”)王建安院士团队,成功应用国际首款冠脉血管重塑导管治疗60岁冠心病患者,有效实现血管再通,无残余狭窄,且无夹层产生。

李长岭教授手术操作图
矩正医疗团队率先将光交联技术引入冠脉治疗领域,开发了全球首款进入临床阶段的冠脉血管重塑导管。该技术与传统药物球囊技术相结合,将光敏材料输送至病变血管,并利用激光激活光敏材料,诱导细胞外基质发生光交联反应,构建微交联结构,减少了回弹,且撤出球囊后不留下任何异物,真正实现“介入无植入”。
冠脉血管重塑导管作为全新的治疗产品,其临床应用优势在于:
1、减少血管介入手术过程中的损伤;
2、抑制血管壁弹性回缩和夹层产生;
3、维持血管管腔的自然解剖结构和生理特性。
冠脉血管重塑导管治疗60岁冠脉原发病变患者,实现无残余狭窄
据悉,接受本次临床手术的患者60岁,男性,既往患有高血压。1个月前患者出现活动后胸闷气促,持续3分钟左右,休息后缓解。为求进一步诊治到浙大二院就诊。经诊断,患者冠脉原发狭窄病变。既往高血压、糖尿病、痛风病史数年。
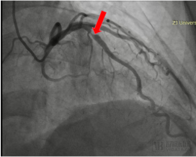
术前造影显示,患者前降支(LAD)中段,病变直径3.50mm,长度12mm,狭窄程度90%,TIMI血流3级。经王建安院士团队评估,决定采用冠脉血管重塑导管治疗患者LAD。

患者LAD术前造影
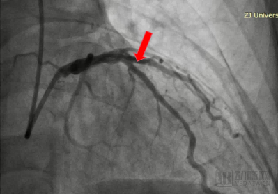
手术过程中,王建安院士团队先使用3.0×13mm规格的棘突球囊预扩张病变血管。随后使用3.5×15mm的矩正冠状动脉血管重塑导管以10atm扩张血管,并启动激光治疗。术后造影显示扩张效果良好,无残余狭窄无夹层,TIMI血流3级,手术圆满完成。

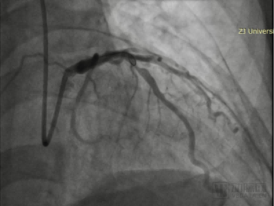
导丝穿过患者病变部位

患者LAD术后造影
本次主治医生浙大二院心内科李长岭教授提到:“此类血管疾病在临床较为常见,常规器械治疗往往容易导致夹层,而该患者采用冠脉血管重塑导管扩张治疗后并无夹层产生。另外,整台手术的流程没有大的变化,仅增加了激光激活的步骤。冠脉血管重塑导管介入操作简单,医生能够快速掌握,利用新的技术更高效地开展手术。”
冠脉血管重塑导管同时实现了“球囊扩张”+“原位愈合”的双重效果,显著提高了冠心病治疗效率,并有效抑制夹层产生及血管回弹等风险,改善远期预后。术中无需改变球囊介入治疗的操作流程,医生学习曲线短。冠脉血管重塑导管规格多种,可用于冠脉原发病变、支架内再狭窄、球囊术后再狭窄等多种适应症,满足不同的临床需求。
在临床研究的过程中,冠脉重塑导管表现优异,其应用价值也获得了专家的一致认可。浙大二院王建安院士提到:“在介入无植入的理念指导下,冠脉血管重塑导管开创了一个全新的技术方向,期待后续的临床效果。”
浙大二院心内科蒋峻主任介绍:“对于冠脉多支病变、狭窄程度严重的大龄冠心病患者而言,医生不仅要考虑短期治疗效果,还要评估远期预后。单纯的药物球囊扩张后可能存在夹层、再狭窄等风险,冠脉血管重塑导管给临床更多的选择。”
伴随首例临床圆满完成,冠脉血管重塑导管正式开启临床试验,由王建安院士担任PI,将在全国十余家医院开展临床研究,预计在2025年完成临床试验。
介入无植入,冠脉血管重塑导管可满足治疗高效无痕
我国PCI技术逐渐成熟,年手术量超百万,临床对于冠心病“高效+无痕”治疗的综合需求日益增长。现有的金属支架长期植入人体可能出现支架内再狭窄、血栓等风险;药物球囊存在扩张后残余狭窄、血管回弹等问题;可吸收支架产品规格有限且更适用于病情相对简单的患者。在临床需求驱动下,矩正医疗走上了一条差异化的道路,推出国内首款冠脉血管重塑导管,同时满足支架“长久支撑”及球囊“介入无植入”的优势。
北京大学前沿交叉学科研究院生物医用材料和组织工程中心前主任奚廷斐研究员评价道:“药物球囊技术与光交联技术的结合,是药物球囊技术的重大革新。该技术一旦被临床证实,冠脉介入治疗领域将迎来新的一轮研发热潮,也将推动冠脉介入治疗进一步的发展。”
打造血管重塑导管系列,覆盖冠脉、神经、外周介入治疗
目前全球仅一家美国企业Alucent Biomedical在开发血管重塑导管,用于治疗外周动脉疾病,此前已获FDA批准进行用于治疗外周血管疾病和用于治疗终末期肾病患者动静脉瘘(AVF)的两项IDE研究。而矩正医疗是国内首家开发血管重塑导管的企业,并率先将冠脉血管重塑导管推向临床,团队具有深厚的技术积累和丰富的产业化经验。
在底层技术平台的基础上,矩正医疗发展的是血管重塑导管系列产品,可覆盖冠脉、神经、外周、自然腔道等场景,面向更大的介入市场。目前公司的外周、神经介入血管重塑导管均已完成型检,将陆续进入临床。
创新,是医疗器械市场恒久不变的核心竞争要素。正是在创新的发展理念引导下,矩正医疗打破国内血管重塑导管产品空白,快速推进多条产品线,保持先发优势。公司也将在创新的推动下,实现医疗企业的自身价值,为患者提供更好的帮助。

王建安,现为第十四届全国政协委员,经血管植入器械全国重点实验室主任,浙江大学心血管病研究所所长,浙江大学医学院附属第二医院党委书记、心脏中心主任,浙江大学医学院副院长(兼),博士生导师,2023年当选为中国科学院院士。
矩正医疗
矩正医疗成立于2021年8月,由我国生物材料领域著名的科学家团队联合创办,致力于研发血管介入治疗的颠覆性医疗器械,为心脑血管疾病患者提供全新的治疗手段。目前已获得国家高新技术企业、国家科技型中小企业、省科技型中小企业、省创新型中小企业荣誉认定,拥有市级高新技术研究开发中心提供赋能平台。
矩正医疗已累计获得近亿元的业内顶级战略产业资本投资,投资方包括亿生资本、泰煜投资和荷塘创投。
关于亿生资本
亿生资本专注于有原创技术的高端医疗器械创业项目早期股权投资。管理团队具有深厚的医疗产业背景、广泛的行业资源以及丰富的风险投资经验。在国内极具影响力的众多临床院士专家、产业精英及医工创新力量的支持下,亿生资本持续关注医疗器械新技术和新方向,用工匠精神研究、投资并培育领先的科技企业,着重构建以泛血管医疗器械为主的创新生态圈,矢志不渝地将自身打造成为最专业的医疗器械早期投资机构。
关于泰煜投资
泰煜投资聚焦于早期及成长期的医疗健康领域的股权投资,管理团队具有深厚的产业背景、广泛的行业资源以及丰富的投资经验。至今已经完成了二十亿元,百余项目的投资,投资组合涵盖了医疗器械、生物医药、CRO、保健食品。泰煜投资通过赋能被投企业,为中国乃至全球医疗健康领域产业发展创造价值,为大众健康作出贡献。
关于荷塘创投
荷塘创投于2014年在清华大学推动科技成果转化的战略背景下改组成立,是以科技创新型企业的早期投资为主要方向的专业投资管理机构。荷塘创投聚焦于生命科学、医疗器械、信息技术及现代制造业等主要领域,长期专注于具有核心硬科技的创新型企业投资,同时以高校及顶级医院临床专家的科技成果孵化投资为特色。荷塘创投目前在管基金规模超过30亿元,累计投资项目超过80个,其中三分之二的项目在细分市场占有主导地位,过半数项目为国内甚至国际首创技术或“第一”,为基金投资人创造了良好的财务回报,并入选了中国保险资产管理业协会发布的“保险资金投资的A类私募股权投资基金管理人”白名单。
文|陈婕
微信|eveneveneven666
添加时请注明:姓名-公司-职位
网站、公众号等转载请联系授权:Rekkiiie