实时接收矩正的最新动态
了解产品信息
以下文章来源于动脉网 ,作者季嘉颖
近日,杭州矩正医疗科技有限公司(以下简称:矩正医疗)自主研发的“冠状动脉血管重塑导管”顺利完成上市前临床试验入组。这一里程碑式进展不仅标志着这款“全球首创性”产品的开发向前迈进了关键一步,更意味着矩正医疗在血管介入器械领域的创新与转化能力得到了阶段性验证。
此项前瞻性、多中心、随机对照研究由浙江大学医学院附属第二医院牵头开展,旨在评估冠脉血管重塑导管在治疗冠状动脉粥样硬化性心脏病患者中的安全性和有效性。
作为一种全新的血管损伤修复的临床治疗路径,冠脉血管重塑导管提供了一种融合“光化学交联技术+药物球囊技术”的创新解决方案:该产品采用光化学交联技术对血管进行弹性重塑,使血管产生持续性的自然支撑力,实现管壁的原位自愈合修复,从而减少对周围组织的干预。其临床应用价值主要现在以下三个方面:
减少血管介入手术过程中的损伤
抑制血管壁弹性回缩和夹层产生
维持血管管腔的自然解剖结构和生理特性
王建安院士对此评价道:“矩正医疗冠脉血管重塑导管的诞生,标志着我国在光化学技术领域取得了全球领先的突破。与此同时,美国的同类技术也获得了FDA‘突破性医疗器械认定’,但其研发进度已经落后我国。当下,冠脉血管重塑导管的临床入组工作已圆满完成,期待这项来自中国的创新成果可以造福全球的心血管疾病患者。”
01
病例分享:有效实现血管再通,且无夹层产生
据悉,接受本次手术的患者53岁,男性,既往有10余年2型糖尿病病史。术前10个多月时,曾于右冠状动脉植入支架。2个多月前,患者出现头晕、心悸症状,无胸痛、胸闷、气紧、黑蒙等不适。为求进一步诊治,该患者前往医院就诊。诊断结果显示,患者存在冠脉原发狭窄病变,且既往有数年高血压、高尿酸血症、肾功能不全史。
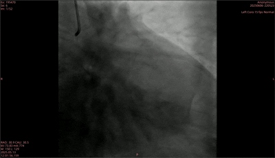
■ 术前评估
术前造影显示,前降支中段伴弥漫性长病变,狭窄最重80%,血流TIMI 3级;回旋支远段狭窄最重80%,血流TIMI 3级;右冠状动脉中段原支架血流通畅,支架内轻度内膜增生,血流TIMI 3级。经评估,治疗团队决定先治疗前降支病变且处理情况良好后,再采用矩正医疗冠脉血管重塑导管治疗患者回旋支远段。

术前
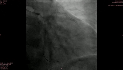
■ 手术治疗
手术过程中,首先于前降支植入2枚药物洗脱支架,重复造影显示狭窄解除。随后,使用2.0mm×15mm规格的预扩球囊对回旋支远段进行预扩张,扩张后直径狭窄程度为25%,血流TIMI 3级,但病变处在预扩后出现B型夹层。后续采用2.0mm×30mm的矩正医疗冠状动脉血管重塑导管,以6atm压力扩张血管,并同步启动激光治疗。最终,术后造影结果显示,狭窄处扩张效果良好,残余狭窄20%,且原夹层消失,血流TIMI 3级,手术圆满完成。

术后
目前部分病例已经完成随访,随访结果符合预期。预计冠脉血管重塑导管有望在2026年提交注册审批并上市,届时将为心血管疾病患者带来“介入无植入”的治疗新选择。
作为该临床研究的主要研究者,蒋峻教授指出:“对于复杂、高危冠心病患者,现有疗手段往往难以兼顾短期疗效与长期安全性,面临血管夹层、再狭窄等常见问题。冠脉血管重塑导管凭借其独特的‘球囊扩张+原位愈合’双重机制,能有效抑制夹层产生及血管回弹风险,为临床提供了全新的治疗选择。”

浙江大学医学院附属第二医院心内科主任医师 蒋峻
02
原位支撑,高效无痕,
助力PCI治疗水平再“升级”
随着老龄化加速与生活方式变迁,我国冠心病的发病率不断攀升,经皮冠状动脉介入治疗(PCI)作为冠心病治疗的核心手段,其手术量正呈现出快速增长的趋势。根据国家卫健委冠心病介入技术质控中心公布的中国大陆地区冠心病介入治疗(PCI)注册数据,2023年PCI手术总例数为163万例,较2022年增长了26.44%,创历史新高。此外,26.44%的PCI病例数增长率也同样到达历年最高位。

数据来源医师报,动脉网制图
经过40余年的发展,PCI技术不断迭代升级,逐渐从冠脉球囊扩张成形术(PTCA)、金属裸支架(BMS)植入术,发展至新一代药物洗脱支架(DES)植入以及药物涂层球囊(DCB)的应用。
其中,药物洗脱支架通过释放抗血管内膜增生的药物,预防血管弹性回缩导致的管腔狭窄,但仍术后存在植入物,可能引发支架内再狭窄(ISR)和血栓等问题。虽然药物涂层球囊无植入物,并且可以通过将抗增殖药物递送到局部血管壁,阻碍血管内膜增生而不遗留永久置入物,但其同样无法持续提供支撑力,容易出现血管夹层和弹性回缩。
针对当前技术局限,矩正医疗在全球范围内率先将“光交联技术”引入冠脉治疗领域,成功研发出冠状动脉血管重塑导管。
在创新维度上,该产品通过精准控制激光的传递和释放,诱导血管中膜细胞外基质发生光交联反应,构建原位微交联支撑结构,从而有效减少血管夹层的产生和管壁的弹性回缩。并且,由于该技术是基于细胞外基质的自身交联,因此在导管撤出后不留有任何植入物,能够维持血管管腔的自然解剖结构和生理特性,患者也无需长期服用抗血小板药物,能够真正实现“介入无植入”。
创新,承载着改善患者生活品质与推动行业进步的双重使命。从技术边界的拓展,到治疗理念的革新,矩正医疗自2021年成立以来,始终以解决临床痛点为第一出发点,致力于研发真正适合中国乃至全球患者的治疗方案。展望未来,矩正医疗将以“创新点亮生命”为使命,持续深耕临床需求,用“中国原创”普惠全球患者,定义血管介入的无限可能。
关于矩正
面向未来的创新介入技术平台
杭州矩正医疗科技有限公司(以下简称‘矩正医疗’)创立于2021年,是国内首家掌握血管内光化学交联技术的高科技企业,专注于血管介入领域创新医疗器械的研发与生产,致力于研发“介入无植入”的自然血管支架系列产品。矩正医疗总部位于杭州市未来科技城,在安吉拥有1700平方米生产基地。
未来,矩正医疗将持续秉承“介入无植入”的理念,研发新型介入医疗器械,以解决临床痛点为第一出发点,真正为血管介入治疗患者提供全新的解决方案,并积极推进创新技术的研发,进一步推动血管介入治疗领域的发展。